¼Õ/¹ß
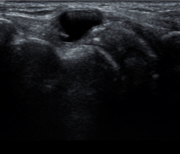
¼Õ¸ñÅͳÎÁõÈıº
¼Õ¸ñÀ» °¡·ÎÁö¸£´Â Àδ밡 µ¤°í ÀÖ´Â ÅͳÎ
¾Æ·¡·Î ¼Õ°¡¶ôÀ» ±¸ºÎ¸®´Â ÈûÁÙ°ú ½Å°æÀÌ
ÇÔ²² Áö³ª°©´Ï´Ù.
¼ÕÀ» ¸¹ÀÌ »ç¿ëÇÏ°Ô µÇ¸é ÈûÁÙÀÌ º×°Ô µÇ°í ÀÌ·Î ÀÎÇØ ¿·¿¡ ÀÖ´ø ½Å°æÀÌ ´·Á Àú¸®°Å³ª ÀÌ»ó °¨°¢ÀÌ ³ªÅ¸³ª´Â Áõ»óÀÔ´Ï´Ù.
¼Õ¸ñÅͳÎÁõÈıº ¿øÀÎ
Áý¾ÈÀÏ, ½º¸¶Æ®Æù »ç¿ë, ¿îÀü µî ÀæÀº ¼Õ¸ñ »ç¿ë
·ù¸¶Æ¼½º °üÀý¿°À¸·Î ÀÎÇÑ ºÎÁ¾
¼Õ¸ñÅͳÎÁõÈıº Áõ»ó
¾öÁö¿Í 2, 3, 4 ¼Õ°¡¶ô ÀϺΰ¡ Àú¸³´Ï´Ù.
¼Õ¸ñ¿¡ ÅëÁõÀÌ ¹ß»ýÇÕ´Ï´Ù.
¼Õ°¡¶ôÀÌ Àú¸®°í ¹°°ÇÀ» ÁýÀ» ¶§ °¨°¢ÀÌ ¶³¾îÁý´Ï´Ù.
ÆÈÀ» ¿Ã·ÈÀ» ¶§ ÆÈ¸ñ¿¡¼ ÅëÁõÀÌ ³ªÅ¸³³´Ï´Ù.
TÀÚ ¸ð¾çÀ¸·Î ¾ç ¼Õ¸ñÀ» ¸Â´ë°í À¯ÁöÇÒ ¶§ ÂÇÑ ÅëÁõÀÌ ¹ß»ýÇÕ´Ï´Ù.
¼Õ¸ñÅͳÎÁõÈıº Ä¡·á¹æ¹ý
ºñ¼ö¼ú Ä¡·á
¼ö¼úÀû Ä¡·á
¼Õ¸ñÅͳÎÁõÈıº ¼ö¼ú
ÀÏÁ¤±â°£ ºñ¼ö¼úÀû Ä¡·á¿¡µµ ºÒ±¸ÇÏ°í ¸¸¼ºÀû ÅëÁõÀÌ Áö¼ÓµÉ °æ¿ì ¼ö¼úÀ» °í·ÁÇÒ ¼ö ÀÖ½À´Ï´Ù.
¼ö¼ú Àü
¼ö¼ú ÈÄ
¼ö±Ù°üÀ¯¸®¼ú
¼Õ¸ñ Á¤Áß°æ ½Å°æºÎÀ§ 1cm¹Ì¸¸ Àý°³
Á¤Á߽ŰæÀ» ¾Ð¹ÚÇÏ´Â Àδë ÀýÀç
5ºÐ ³»¿ÜÀÇ ºñ±³Àû °£´ÜÇÑ ¼ö¼ú
¼ö¼ú ¹× ½Ã¼ú ÈÄ ±¹¼Ò°¨¿°, ºÎºÐÃâÇ÷ ¹× ÀϽÃÀû ½Å°æ¸¶ºñ¿Í °°Àº ºÎÀÛ¿ëÀÌ µå¹°°Ô ¹ß»ýÇÒ ¼ö ÀÖ¾î º» ¼ö¼ú ¹× ½Ã¼ú ½ÃÇà ½Ã »çÀü°Ë»ç ¹× ÁÖÄ¡ÀÇ¿ÍÀÇ Àü¹® »ó´ãÀÌ ÇÊ¿äÇÕ´Ï´Ù.
°ñÇÁ ¹× Å״Ͻº¿¤º¸
ÆÈ²ÞÄ¡ ¾ÈÂÊ È¤Àº ¹Ù±ùÂÊ¿¡ ¼Õ, ¼Õ¸ñÀ»
¿òÁ÷ÀÌ´Â
±ÙÀ°, ÈûÁÙµîÀÌ ºÙ¾îÀÖ´Â ºÎºÐ¿¡
¿°ÁõÀÌ »ý°Ü ÅëÁõÀÌ ¹ß»ýÇÏ´Â Áúȯ
Áõ»óÀÌ ½ÉÇØÁú °æ¿ì ÀδëÆÄ¿, ±Ù·Â ¾àȵîÀ» ÃÊÇØÇÒ ¼ö ÀÖ½À´Ï´Ù.
°ñÇÁ ¹× Å״Ͻº ¿¤º¸ ¿øÀÎ
°úµµÇÑ ¼Õ¸ñ »ç¿ë
¼Õ¸ñÀ» ¸¹ÀÌ »ç¿ëÇÏ´Â Á÷¾÷À̳ª ¿îµ¿¼±¼ö
ÆÈ²ÞÄ¡ÀÇ ¹Ýº¹Àû ¹«¸®ÇÑ »ç¿ë ¹× ¿Ü»ó
°ñÇÁ ¹× Å״Ͻº¿¤º¸ Áõ»ó
ÆÈ²ÞÄ¡ ¾ÈÂʰú ¹Ù±ùÂÊ¿¡ ÅëÁõÀÌ ÀÖ´Ù.
¼Õ¸ñÀ» À§·Î ²©´Â µ¿ÀÛ¿¡¼ ÅëÁõÀÌ ½ÉÇØÁø´Ù.
¹«°Å¿î ¹°°ÇÀ» Àâ°Å³ª µé ¶§ ÅëÁõÀÌ ½ÉÇØÁø´Ù.
°ñÇÁ ¹× Å״Ͻº¿¤º¸ Ä¡·á¹æ¹ý
ºñ¼ö¼ú Ä¡·á
¼ö¼úÀû Ä¡·á
°ñÇÁ ¹× Å״Ͻº¿¤º¸ ¼ö¼ú
ÀÏÁ¤±â°£ ºñ¼ö¼úÀû Ä¡·á¿¡µµ ºÒ±¸ÇÏ°í ¸¸¼ºÀû ÅëÁõÀÌ Áö¼ÓµÉ °æ¿ì ¼ö¼úÀ» °í·ÁÇÒ ¼ö ÀÖ½À´Ï´Ù.
¼ö¼ú Àü
¼ö¼ú ÈÄ
°Ç º¯¿¬ ÀýÁ¦¼ú ¹× º¹¿ø¼ú
°üÀý°æÀ» ÀÌ¿ëÇϰųª 2cm ¹Ì¸¸À¸·Î Àý°³ ÈÄ ¿°ÁõÀ» À¯¹ßÇÏ´Â Á¶Á÷ Á¦°Å
ÅëÁõÀ» °³¼±ÇÏ°í ºü¸¥ ȸº¹À» µ½´Â ¼ö¼ú¹æ¹ý
¼ö¼ú ¹× ½Ã¼ú ÈÄ ±¹¼Ò°¨¿°, ºÎºÐÃâÇ÷ ¹× ÀϽÃÀû ½Å°æ¸¶ºñ¿Í °°Àº ºÎÀÛ¿ëÀÌ µå¹°°Ô ¹ß»ýÇÒ ¼ö ÀÖ¾î º» ¼ö¼ú ¹× ½Ã¼ú ½ÃÇà ½Ã »çÀü°Ë»ç ¹× ÁÖÄ¡ÀÇ¿ÍÀÇ Àü¹® »ó´ãÀÌ ÇÊ¿äÇÕ´Ï´Ù.
°áÀýÁ¾
¼ÕÀ̳ª ¼Õ¸ñ¿¡ »ý°Ü³ª´Â ¡°È¤¡±À» ¸»ÇÕ´Ï´Ù.
ÀÌ´Â ÈçÇÑ ¾ç¼ºÁ¾¾çÀ¸·Î Á©¶óƾ°°Àº ź¼ºÀÌ ÀÖ°í ²öÀûÀÌ´Â ¾×ü¸¦ ÇÔÀ¯Çϰí ÀÖ´Â ¹°È¤ÀÌ °üÀý ¸·À̳ª ÈûÁÙ ¸· µî¿¡ ¹ß»ýÇÏ´Â ÁúȯÀÔ´Ï´Ù.
°áÀýÁ¾ ¿øÀÎ
¹Ýº¹ÀûÀÎ ¼Õ¸ñ »ç¿ë
°üÀý¸·ÀÇ ÅðÇ༺ º¯È·Î °üÀý¾× ÁÖ¸Ó´Ï Çü¼º
°áÀýÁ¾ Áõ»ó
¼Õ¸ñÀ» ¿òÁ÷ÀÏ ¶§ ºÒÆíÇÏ´Ù.
´Ü´ÜÇÑ È¤ÀÌ ¸¸Á®Áø´Ù.
Ưº°ÇÑ ÅëÁõÀÌ ¾ø´Â °æ¿ìµµ ÀÖ´Ù.
°áÀýÁ¾ Å©±â°¡ Ä¿Áö°í ÁÙ¾îµé±â¸¦ ¹Ýº¹ÇÑ´Ù.
°áÀýÁ¾ Ä¡·á¹æ¹ý
ºñ¼ö¼ú Ä¡·á
¼ö¼úÀû Ä¡·á
°áÀýÁ¾ ¼ö¼ú
ÀÏÁ¤±â°£ ºñ¼ö¼úÀû Ä¡·á¿¡µµ ºÒ±¸ÇÏ°í ¸¸¼ºÀû ÅëÁõÀÌ Áö¼ÓµÉ °æ¿ì ¼ö¼úÀ» °í·ÁÇÒ ¼ö ÀÖ½À´Ï´Ù.
ÃÊÀ½ÆÄ À̹ÌÁö
°áÀýÁ¾ Á¦°Å¼ú
ÈäÅͰ¡ ÀûÀ½
ÀÏ»ó»ýȰ ºü¸¥ º¹±Í
¼ö¼ú ¹× ½Ã¼ú ÈÄ ±¹¼Ò°¨¿°, ºÎºÐÃâÇ÷ ¹× ÀϽÃÀû ½Å°æ¸¶ºñ¿Í °°Àº ºÎÀÛ¿ëÀÌ µå¹°°Ô ¹ß»ýÇÒ ¼ö ÀÖ¾î º» ¼ö¼ú ¹× ½Ã¼ú ½ÃÇà ½Ã »çÀü°Ë»ç ¹× ÁÖÄ¡ÀÇ¿ÍÀÇ Àü¹® »ó´ãÀÌ ÇÊ¿äÇÕ´Ï´Ù.
¹ß¸ñÀδëÆÄ¿
ÈçÈ÷ ¹ß¸ñÀ» »ß²ýÇß´Ù, Á¢Áú·¶´Ù
Ç¥ÇöÇÏ´Â
¹ß¸ñÀδëÁúȯ
Àδë´Â »À¿Í»À¸¦ ¿¬°áÇØÁִ ź¼º ÀÖ´Â Á¶Á÷À¸·Î, Çѹø ¼Õ»óÀ» ¹ÞÀ¸¸é ÀÚ¿¬ Ä¡À¯ µÇ´Â´ë ¿À·£½Ã°£ÀÌ °É¸®±â ¶§¹®¿¡ Á¶±â ¹ß°ßÇϰí Ä¡·á¸¦ Á¦¶§ ¹Þ´Â °ÍÀÌ Áß¿äÇÕ´Ï´Ù.
¹ß¸ñÀδëÆÄ¿ ¿øÀÎ
¹Ýº¹ÀûÀ¸·Î ¹ß¸ñÀ» Á¢Áú¸° °æ¿ì
°ÇÏ°Ô ¹ß¸ñÀÌ ¾ÈÂÊÀ¸·Î ²ªÀÌ¸é¼ ´ÙÄ¡´Â °æ¿ì
¹ß¸ñÀ» ´ÙÄ£ ÈÄ ÀûÀýÇÑ Ä¡·á¸¦ ¸ø ¹ÞÀº °æ¿ì
¹ß¸ñÀδëÆÄ¿ Áõ»ó
¹ß¸ñ°üÀý ºÎÀ§¸¦ ´·¶À» ¶§ ÅëÁõÀÌ ÀÖ´Ù.
Áõ»óÀÌ ¿À·¡µÈ °æ¿ì °üÀý¿¬°ñ ¼Õ»ó µî 2Â÷Àû ¼Õ»óÀÌ ³ªÅ¸³¯ ¼ö ÀÖ´Ù.
±Þ¼º¼Õ»ó½Ã ¹ß¸ñ°üÀý¿¡ ºÎÁ¾°ú ¿°¨À» µ¿¹ÝÇÏ´Â ÅëÁõÀÌ °ÇÏ°Ô ³ªÅ¸³´Ù.
¸¸¼º¼Õ»óÀÌ ±â´ÉÀûÀ¸·Î ¾àÇØÁö°í ¶Ù°Å³ª Á¡ÇÁ ½Ã ºÒ¾ÈÁ¤¼ºÀÌ ³ªÅ¸³´Ù.
¹ß¸ñÀδëÆÄ¿ Ä¡·á¹æ¹ý
ºñ¼ö¼ú Ä¡·á
¼ö¼úÀû Ä¡·á
¹ß¸ñÀδëÆÄ¿ ¼ö¼ú
ÀÏÁ¤±â°£ ºñ¼ö¼úÀû Ä¡·á¿¡µµ ºÒ±¸ÇÏ°í ¸¸¼ºÀû ÅëÁõÀÌ Áö¼ÓµÉ °æ¿ì ¼ö¼úÀ» °í·ÁÇÒ ¼ö ÀÖ½À´Ï´Ù.
¼ö¼ú Àü
¼ö¼ú ÈÄ
¹ß¸ñÀÎ´ë ºÀÇÕ¼ú / Àç°Ç¼ú
¹ß¸ñÀÎ´ë ¼Õ»óÀÌ ÁßÁõ ÀÌ»óÀÏ ¶§
ºÒ¾ÈÁ¤¼ºÀÌ ³Ê¹« ½ÉÇØ ¹ß¸ñ°üÀýÀÌ Á¦ ±â´ÉÀ» ÇÏÁö ¸øÇÒ ¶§
Àδ븦 ºÀÇÕÇϰųª ºÀÇÕÇϱâ ÈûµéÁ¤µµ·Î Àδ밡 ¼Õ»óµÇ¾úÀ» ¶§
ÀÚ°¡°Ç/Ÿ°¡°ÇÀ» ÀÌ¿ëÇÑ ºÀÇÕ¼ú ½ÃÇà
¼ö¼ú ¹× ½Ã¼ú ÈÄ ±¹¼Ò°¨¿°, ºÎºÐÃâÇ÷ ¹× ÀϽÃÀû ½Å°æ¸¶ºñ¿Í °°Àº ºÎÀÛ¿ëÀÌ µå¹°°Ô ¹ß»ýÇÒ ¼ö ÀÖ¾î º» ¼ö¼ú ¹× ½Ã¼ú ½ÃÇà ½Ã »çÀü°Ë»ç ¹× ÁÖÄ¡ÀÇ¿ÍÀÇ Àü¹® »ó´ãÀÌ ÇÊ¿äÇÕ´Ï´Ù.
¹«Áö¿Ü¹ÝÁõ
¾öÁö¹ß°¡¶ôÀÌ ±ÙÀ§°üÀý ³»ÃøÀÌ °úµµÇÏ°Ô ÈÖ°í,
¾öÁö¹ß°¡¶ô°ú °üÀýÀ» ÀÌ·ç´Â ÁßÁ·°ñÀº
¾ÈÂÊÀ¸·Î Ä¡¿ìÄ¡´Â °üÀý º¯Çü Áúȯ
ÀÌ º¯ÇüÀº ¹ßÀÇ ¼öÆò¸é¿¡¼ÀÇ º¯ÇüÀ» ÀǹÌÇϳª ½ÇÁ¦·Î´Â ¹ß°¡¶ôÀÌ ¹ßµî ÂÊÀ¸·Î Èְųª, ¾öÁö¹ß°¡¶ô ÃàÀ» Áß½ÉÀ¸·Î ³»ÃøÀ¸·Î ȸÀüÇÏ´Â º¯ÇüÀ» µ¿¹ÝÇÑ »ïÂ÷¿øÀûÀÎ º¯ÇüÀÔ´Ï´Ù.
¹«Áö¿Ü¹ÝÁõ ¿øÀÎ
Æò¹ß, ³ÐÀº ¹ß, °úÇÏ°Ô À¯¿¬ÇÑ °üÀý µî ¼±ÃµÀû ¿äÀÎ
»ÏÁ·ÇÑ ½Å¹ß, ±ÁÀÌ ³ôÀº ±¸µÎ Âø¿ë µî ÈÄõÀû ¿äÀÎ
À¯ÀüÀû ¿øÀÎ
¹«Áö¿Ü¹ÝÁõ Áõ»ó
¾öÁö¹ß°¡¶ôÀÌ »õ³¢¹ß°¡¶ô ÂÊÀ¸·Î ÈÖ¾îÁø´Ù.
°ÉÀ» ¶§¸¶´Ù µ¹Ãâ ºÎÀ§°¡ ½Å¹ß°ú ¸Â´ê¾Æ ÅëÁõÀÌ ¹ß»ýÇÑ´Ù.
¾öÁö¹ß°¡¶ô ´ë½Å µÎ, ¼¼ ¹øÂ° ¹ß°¡¶ôÀÌ Ã¼ÁßÀ» °ßµð¸ç ±»Àº»ìÀÌ »ý±ä´Ù.
¹«Áö¿Ü¹ÝÁõ Ä¡·á¹æ¹ý
ºñ¼ö¼ú Ä¡·á
¼ö¼úÀû Ä¡·á
¹«Áö¿Ü¹ÝÁõ ¼ö¼ú
ÀÏÁ¤±â°£ ºñ¼ö¼úÀû Ä¡·á¿¡µµ ºÒ±¸ÇÏ°í ¸¸¼ºÀû ÅëÁõÀÌ Áö¼ÓµÉ °æ¿ì ¼ö¼úÀ» °í·ÁÇÒ ¼ö ÀÖ½À´Ï´Ù.
¼ö¼ú Àü
¼ö¼ú ÈÄ
¹«Áö¿Ü¹Ý ±³Á¤¼ú
¾öÁö¹ß°¡¶ôÀÌ ÈÖ¾îÁø °¢µµ¿Í ÅëÁõÁ¤µµ¿¡ µû¶ó ¼ö¼úÀû ±³Á¤¼ú ½ÃÇà
¹ßº¼ ¾ÈÂÊÀ¸·Î Æ¢¾î³ª¿Â »À¸¦ Á¦°Å
ÈÖ¾îÁø °¢µµ¸¦ Á¤»ó¹üÀ§·Î ±³Á¤ÇÑ ÈÄ ¿¬ºÎÁ¶Á÷À» º¸°
¼ö¼ú ¹× ½Ã¼ú ÈÄ ±¹¼Ò°¨¿°, ºÎºÐÃâÇ÷ ¹× ÀϽÃÀû ½Å°æ¸¶ºñ¿Í °°Àº ºÎÀÛ¿ëÀÌ µå¹°°Ô ¹ß»ýÇÒ ¼ö ÀÖ¾î º» ¼ö¼ú ¹× ½Ã¼ú ½ÃÇà ½Ã »çÀü°Ë»ç ¹× ÁÖÄ¡ÀÇ¿ÍÀÇ Àü¹® »ó´ãÀÌ ÇÊ¿äÇÕ´Ï´Ù.
¾ÆÅ³·¹½º°Ç¿°
¾ÆÅ³·¹½º°ÇÀº
¿ì¸® ¸ö¿¡¼ °¡Àå µÎ²®°í °ÇÑ ÈûÁÙ·Î
¹«¸ÀÌ ¾ÕÀ¸·Î ³Ñ¾îÁöÁö ¾Êµµ·Ï ÁöÅÊÇϰí
º¸Çà½Ã ¾ÕÀ¸·Î ³ª°¡´Â ÃßÁø·ÂÀ» ÁÖ´Â ¾ÆÁÖ Áß¿äÇÑ ±¸Á¶ÀÌÀÚ °¡Àå ¸¹Àº ÀÏÀ» ÇÏ´Â ºÎÀ§ÀÔ´Ï´Ù. ÀÌ·¯ÇÑ ¾ÆÅ³·¹½º°Ç¿¡ ¹«¸®°¡ ¿Í ¿°ÁõÀÌ »ý±â´Â ÁúȯÀ» ¾ÆÅ³·¹½º°Ç¿°À̶ó°í Çϸç, ¿°ÁõÀ¸·Î ÀÎÇÑ ÅëÁõÀ¸·Î º¸Çà Àå¾Ö¸¦ À¯¹ßÇÕ´Ï´Ù
¾ÆÅ³·¹½º°Ç¿° ¿øÀÎ
¾ÆÅ³·¹½º°Ç ºÎÀ§¿¡ ¹Ýº¹ÀûÀÎ
½ºÆ®·¹½º°¡ °¡ÇØÁö´Â °æ¿ì
¸¶¶óÅæ°ú °°Àº
Àå½Ã°£ ´Þ¸®±â¸¦ ÇÏ´Â °æ¿ì
µî»ê, Ã౸ µî ¿îµ¿¿¡ ÀÇÇÑ
°úµµÇÑ Ãæ°ÝÀÌ °¡ÇØÁø °æ¿ì
µüµüÇÑ ½Å¹ßÀ»
Àå±â°£ Âø¿ëÇÑ °æ¿ì
¾ÆÅ³·¹½º°Ç¿° Áõ»ó
¹ß µÚ²ÞÄ¡ÂÊ¿¡ ÅëÁõÀÌ ÀÖ°í ±× ºÎÀ§°¡ Æ¢¾î ³ª¿À±âµµ ÇÑ´Ù.
¿îµ¿ ÈÄ ÅëÁõÀÌ ½ÉÇØÁø´Ù.
±¸µÎ³ª ÀÛÀº ½Å¹ß, µüµüÇÑ ½Å¹ßÀ» ½Å¾úÀ» ¶§ ÅëÁõÀÌ ½ÉÇØÁø´Ù.
¾ÆÄ§¿¡ ÀϾ ¹ßÀ» µðµô ¶§ ÅëÁõÀ̳ª »¶»¶ÇÑ ´À³¦ÀÌ ÀÖ°í, ¹ß¸ñÀ» ¿òÁúÀÏ ¶§ ¼Ò¸®°¡ ³¯¼ö ÀÖ´Ù.
¾ÆÅ³·¹½º°Ç¿° Ä¡·á¹æ¹ý
ºñ¼ö¼ú Ä¡·á
¼ö¼úÀû Ä¡·á
Á·Àú±Ù¸·¿°
Á·Àú±Ù¸·Àº
¹ß µÚ²ÞÄ¡»À¿¡¼ ½ÃÀÛÇØ ¹ß¹Ù´Ú ¾ÕÂÊÀ¸·Î
À̾îÁö´Â µÎ²®°í °ÇÑ ¼¶À¯¶ì¸¦ ¸»ÇÕ´Ï´Ù.
¹ßÀÇ ¾ÆÄ¡¸¦ À¯ÁöÇÏ°í ¹ß¿¡ ÀüÇØÁö´Â Ãæ°ÝÀ» Èí¼öÇϸç üÁßÀÌ ½Ç¸° »óÅ¿¡¼ ¹ßÀ» µé¾î ¿Ã¸®´Âµ¥ µµ¿òÀ» ÁÖ´Â µî º¸Çà ½Ã Áß¿äÇÑ ¿ªÇÒÀ» ÇÕ´Ï´Ù.
Á·Àú±Ù¸·¿¡ ¹Ýº¹ÀûÀ¸·Î ¹Ì¼¼ ¼Õ»óÀÌ °¡ÇØÁö¸é ±Ù¸·À» ±¸¼ºÇÏ´Â Äݶó°Õ¿¡ º¯¼ºÀÌ À¯¹ßµÇ°í ¿°ÁõÀÌ ¹ß»ýÇÏ´Â °ÍÀ» Á·Àú±Ù¸·¿°À̶ó°í ÇÕ´Ï´Ù. Á·Àú±Ù¸·¿°Àº ¼ºÀÎ ¹ßµÚ²ÞÄ¡ ÅëÁõÀÇ ´ëÇ¥ÀûÀÎ ÁúȯÀÔ´Ï´Ù.
Á·Àú±Ù¸·¿° ¿øÀÎ
¸¶¶óÅæ, µî»ê µî
°úµµÇÏ°Ô ¿îµ¿ ½Ã
°úµµÇϰÔ
üÁßÀÌ Áõ°¡ÇÑ °æ¿ì
¹ß¹Ù´Ú¿¡ ¹«¸®°¡ °¡´Â
µüµüÇÑ ½Å¹ß Âø¿ë
Æò¹ßÀ̳ª ¾ÆÄ¡°¡ Á¤»óº¸´Ù ³ôÀº
¿äÁ·ÀÌ ÀÖ´Â °æ¿ì
Á·Àú±Ù¸·¿° Áõ»ó
¾ÆÄ§¿¡ ÀϾ ¹ßÀ» µðµô ¶§ ÅëÁõÀÌ ¹ß»ý
¹ß°¡¶ôÀ» ¹ßµî ÂÊÀ¸·Î ±¸ºÎ¸± ¶§ ÅëÁõÀÌ ½ÉÇØÁø´Ù.
¿òÁ÷ÀÏ ¶§ ÅëÁõÀÌ ¹ß»ýÇÏÁö¸¸ ÀÏÁ¤½Ã°£ Ȱµ¿ ½Ã ÁÙ¾îµå´Â ¾ç»óÀ» º¸ÀδÙ.
Á·Àú±Ù¸·¿° Ä¡·á¹æ¹ý
ºñ¼ö¼ú Ä¡·á



